TITLE: Choeledocholithiasis
DESCRIPTION:
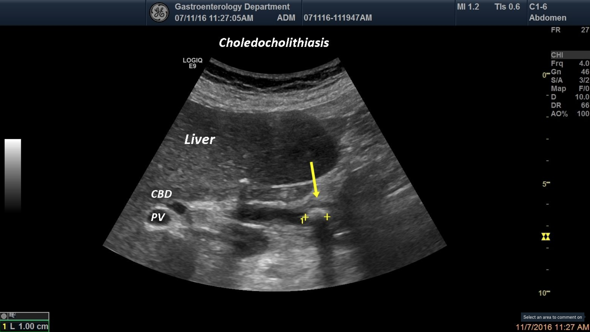
A 59-year-old patient was admitted in our department for jaundice and epigastric-colicky pain. During ultrasound examination we depicted an hyperechoic structure inside the common bile duct and an enlarged CBD.
EMAIL CONTACT:
moga.tudor@yahoo.com
KEYWORDS:
common bile duct, gallstone, hepatic hilum





![Choeledocholithiasis [1 image]](http://s834315022.websitehome.co.uk/wp-content/uploads/2021/01/Screen-Shot-2021-01-05-at-12.30.06.png)
