TITLE: Choledocholithiasis
DESCRIPTION:
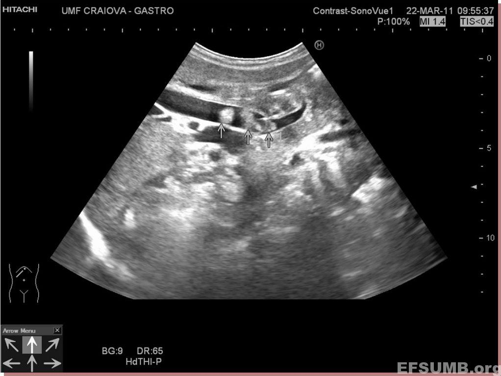
Standard ultrasound shows multiple echogenic rounded images, without shadowing and a dilated common bile duct.
EMAIL CONTACT:
constantinescu.codruta@yahoo.com
KEYWORDS:
choledocholithiasis, cbd stones, bile ducts stones, lithiasis
![Choledocholithiasis [1 image]](http://s834315022.websitehome.co.uk/wp-content/uploads/2021/01/Screen-Shot-2021-01-04-at-14.01.35.png)





