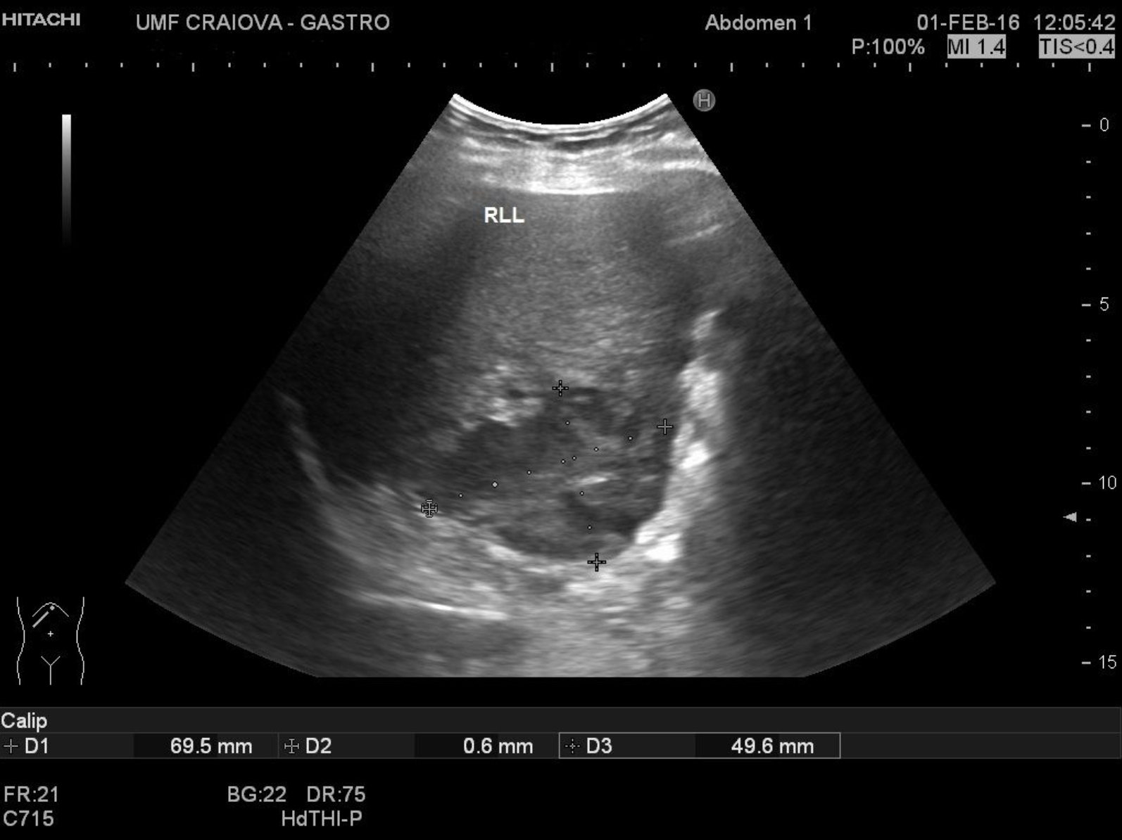
Liver abscess [1 image] Categories AbscessBASIC ULTRASOUND IMAGESLiver TITLE: Liver Abscess DESCRIPTION: An irregular hypoechoic mass in the caudate liver lobe EMAIL CONTACT:constantinescu.codruta@yahoo.com KEYWORDS:liver ultrasound, liver abscess Related postsJanuary 5, 2021Walled-off pancreatic necrosis [2 images]Read more