
Technical Quality Assurance – Safety Aspects
December 29, 2020
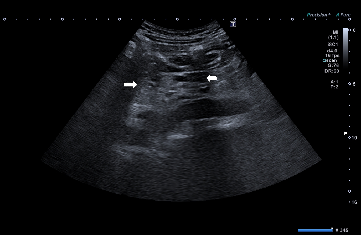
Bowel ultrasound findings in SARS-CoV-2 Pneumonia patients with gastrointestinal symptoms [Jan 2021]
December 30, 2020
Technical Quality Assurance – Safety Aspects
December 29, 2020
Bowel ultrasound findings in SARS-CoV-2 Pneumonia patients with gastrointestinal symptoms [Jan 2021]
December 30, 2020
Technical Quality Assurance – Safety Aspects
December 29, 2020
Bowel ultrasound findings in SARS-CoV-2 Pneumonia patients with gastrointestinal symptoms [Jan 2021]
December 30, 2020