
Student Image Challenge 112
March 16, 2026SUBMIT YOUR CASE
EFSUMB invites submission of interesting cases for the website section 'Case of the Month'. All CoM submissions are eligible for selection for free registration at the next Euroson congress. The EFSUMB Publications Committee will review all Best Case of the Month submissions at the end of March 2026. Two cases that receive the most 'likes' over a period from the last congress to March 2026 and judged on a range of factors, including scientific value, will receive free registration for the next EUROSON congress and the third case will receive a cash prize of 100 EUR.
Atypical CEUS Pattern as a Diagnostic Clue in a Focal Liver Lesion
Authors:
Paula Mauloni, Daniela Agostinelli, Silvia Vecchio, Carla SerraDiagnostic and Therapeutic Interventional Ultrasound Unit
IRCCS Azienda Ospedaliero-Universitaria di Bologna
VIDEO 1: On CEUS (Video 1), the lesion exhibited early peripheral rim-like enhancement in the arterial phase, followed by centripetal filling with persistent non-enhancing central areas, likely representing necrotic foci. Washout occurred within one minute, suggesting a cholangiocarcinoma component, either alone or in combination with a hepatocellular component.
On CEUS (Video 1), the lesion exhibited early peripheral rim-like enhancement in the arterial phase, followed by centripetal filling with persistent non-enhancing central areas, likely representing necrotic foci. Washout occurred within one minute, suggesting a cholangiocarcinoma component, either alone or in combination with a hepatocellular component.
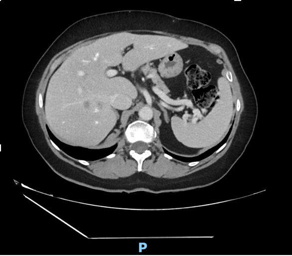
Panoramic imaging was subsequently performed: a CT scan followed by MRI confirmed the suspicion of malignancy, without evidence of biliary dilatation or vascular invasion (Figs. 3 and 4); however, a definitive diagnosis could not be established.
Prostate-specific membrane antigen (PSMA) PET was also performed, and findings were more consistent with hepatocellular carcinoma (HCC).
In our case, CEUS demonstrated a mixed pattern from the outset. A single panoramic imaging modality might have been sufficient for staging prior to surgery. This case highlights the value of CEUS in the characterization of focal liver lesions and its potential to reduce the need for multiple imaging techniques.
• Atypical CEUS findings should raise suspicion for mixed tumors
• Histopathological examination remains essential for a definitive diagnosis
• Long-term surveillance is required due to the high risk of recurrence
2. Gera S, Ettel M, Acosta‑Gonzalez G, Xu R. Clinical features, histology, and histogenesis of combined hepatocellular‑cholangiocarcinoma. World J Hepatol. 2017;9(6):300–309. doi:10.4254/wjh.v9.i6.300. PMID: 28293379; PMCID: PMC7785105.








