
POCUS catches the Breaking point [January 2026]
March 9, 2026
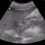
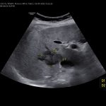
Atypical CEUS Pattern as a Diagnostic Clue in a Focal Liver Lesion [February 2026]
March 30, 2026
Case courtesy of Madara Ratniece

POCUS catches the Breaking point [January 2026]
March 9, 2026
Atypical CEUS Pattern as a Diagnostic Clue in a Focal Liver Lesion [February 2026]
March 30, 2026
POCUS catches the Breaking point [January 2026]
March 9, 2026
Atypical CEUS Pattern as a Diagnostic Clue in a Focal Liver Lesion [February 2026]
March 30, 2026Related posts