TITLE: Obstructive jaundice, Choeledocholithiasis
DESCRIPTION:
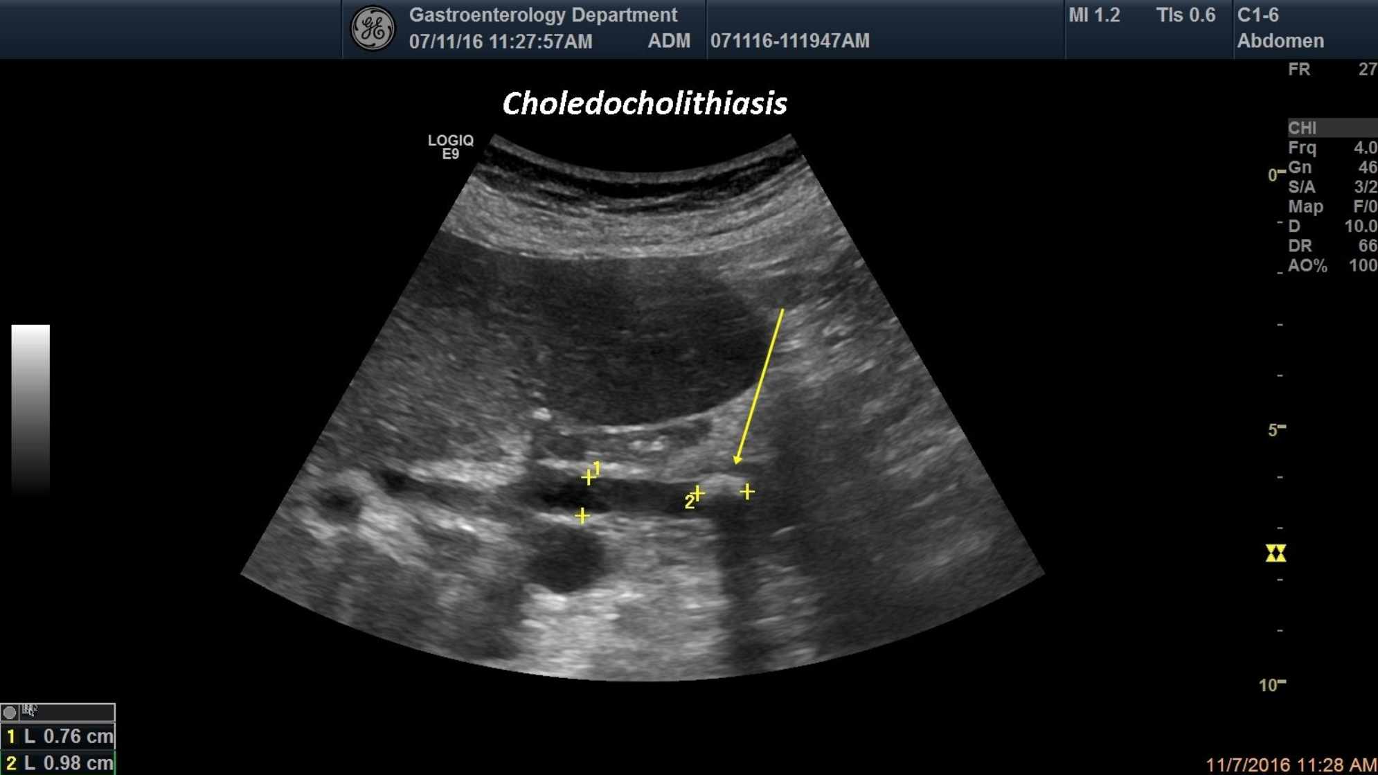
A 75-year-old patient was brought into the emergency room for jaundice and epigastric pain. Standard ultrasound depicted dilated CBD,a hyperechoic image with posterior shadowing inside the CBD and dilated biliary tree.
EMAIL CONTACT:
moga.tudor@yahoo.com
KEYWORDS:
common bile duct, gallstones, obstructive jaundice, posterior shadowing





![Obstructive jaundice, Choeledocholithiasis [1 image]](http://s834315022.websitehome.co.uk/wp-content/uploads/2021/01/Screen-Shot-2021-01-05-at-12.07.20.png)
