Student Image Challenge 108

February 2, 2026

Student Image Challenge 110

February 17, 2026

Student Image Challenge 108

February 2, 2026

Student Image Challenge 110

February 17, 2026
 
 

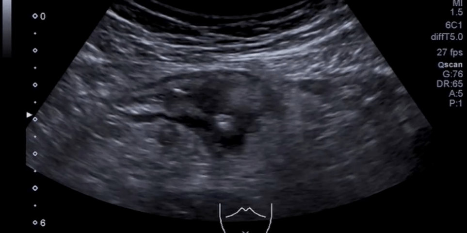
Student Image Challenge #109

Case:   The 42-year-old patient presented to the emergency room with severe, cramp-like pain in her lower left abdomen that had been present for 24 hours, accompanied by a fever of up to 38.8°C, mild nausea, and changes in stool frequency.

1 / 1

Student Image Challenge #109

What is the diagnosis?

Your score is

The average score is 83%

0%

Case courtesy of Severin Pfeil

 

 

 

 

 

 

Comments are closed.