Student Image Challenge 109

February 10, 2026

Student Image Challenge 111

February 27, 2026

Student Image Challenge 109

February 10, 2026

Student Image Challenge 111

February 27, 2026
 
 

Student Image Challenge #110

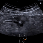
Case:   The 55-year-old female patient was admitted as an emergency case with severe, wave-like pain in the upper right abdomen that had been ongoing for several hours, radiating to the right shoulder and accompanied by nausea, vomiting, and the onset of yellowish discoloration of the sclera.

1 / 1

Student Image Challenge #110

What is the diagnosis?

Your score is

The average score is 60%

0%

Case courtesy of Severin Pfeil

 

 

 

 

 

 

Comments are closed.