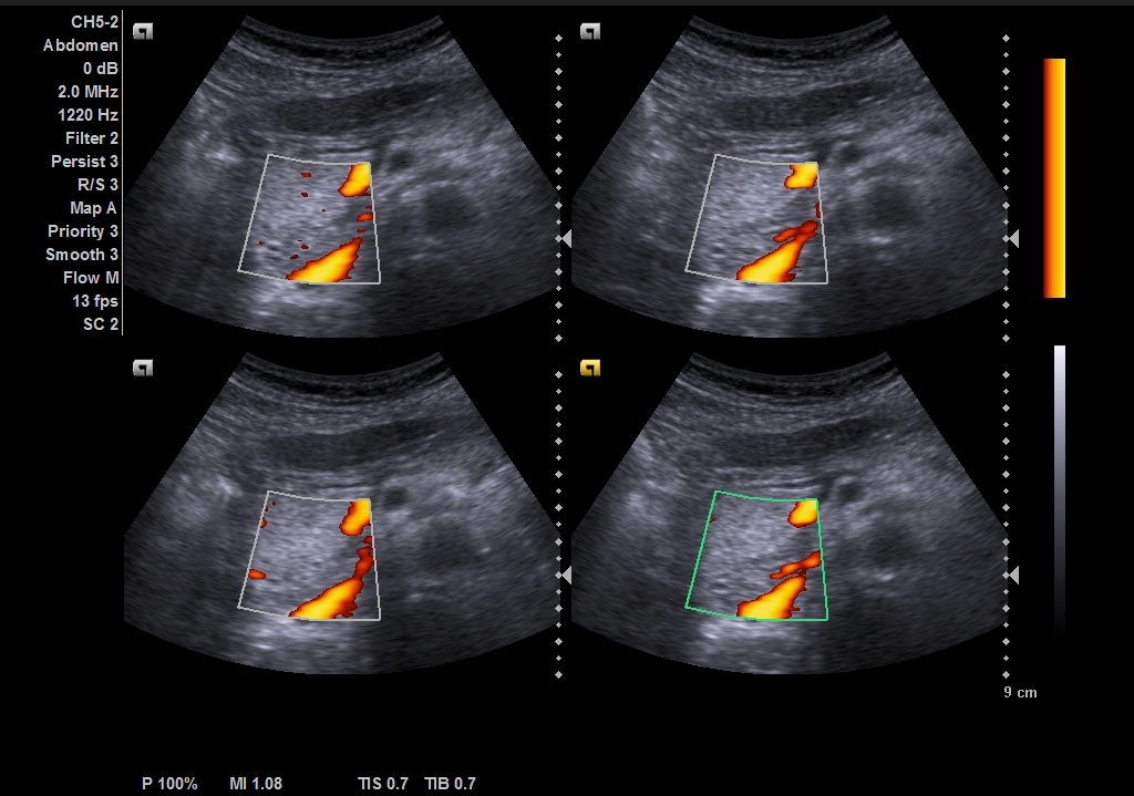
Student Image Challenge 64August 18, 2020Xiang Fei – SpeakerSeptember 7, 2020 Student Image Challenge 65 Student Image Challenge #65 1 / 1 Student Image Challenge #65 What is your diagnosis based on this US image of an asymptomatic patient? Pancreatic cancer Acute pancreatitis A normal image of the pancreas Chronic pancreatitis Pancreas divisum Incorrect ....Please see the correct answer highlighted Correct: A normal image of the pancreas The ventral pancreas has a triangular shape and it is slightly hypoechoic, which could simulate a tumor. Your score isThe average score is 25% LinkedIn Facebook VKontakte 0% Restart quiz Case courtesy of Prof Adrian Saftoiu EFSUMBAdmin Related postsStudent Image Challenge 112Read more Comments are closed.