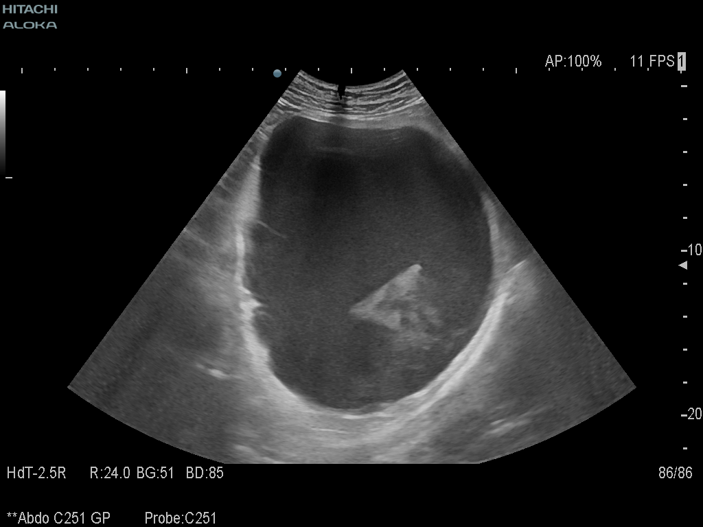
Student Image Challenge 63August 13, 2020Student Image Challenge 65August 26, 2020 Student Image Challenge 64 Student Image Challenge #64 1 / 1 Student Image Challenge #64 A 46-year old male came to the emergency department with extreme physical asthenia and dizziness, with a low hemoglobin count (3.2 mg/dL). Ultrasound examination showed gallbladder stones (up to 2 cm) and a large cyst (17 cm) in the left hypocondrium with hyperechogenic debris inside. What is your diagnosis? Splenic rupture Hemorrhagic adrenal cyst Pancreatic pseudoaneurysm Bleeding pancreatic pseudocyst Adrenal cyst Incorrect ....Please see the correct answer highlighted Correct: Bleeding pancreatic pseudocyst Your score isThe average score is 40% LinkedIn Facebook VKontakte 0% Restart quiz Case courtesy of Prof Adrian Saftoiu EFSUMBAdmin Related postsStudent Image Challenge 107Read more Comments are closed.