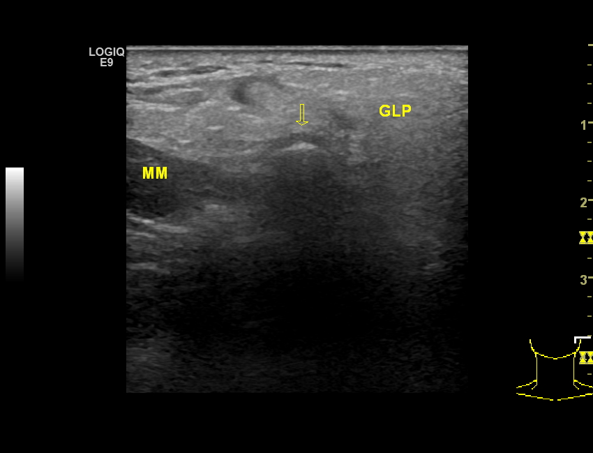
Student Image Challenge 62August 4, 2020Student Image Challenge 64August 18, 2020 Student Image Challenge 63 Student Image Challenge #63 1 / 1 Student Image Challenge #63 A 60 yo female with pain during chewing and intermittent locking of the temporomandibular joint has the following ultrasound image. What is your diagnosis? Mandible fracture Temporomandibular joint osteoarthritis Mandible dislocation Crystal arthropaty Septic arthritis Incorrect ....Please see the correct answer highlighted Correct: Temporomandibular joint osteoarthritis Your score isThe average score is 0% LinkedIn Facebook VKontakte 0% Restart quiz Case courtesy of PD Dr. med. Julian Künzel EFSUMBAdmin Related postsStudent Image Challenge 112Read more Comments are closed.