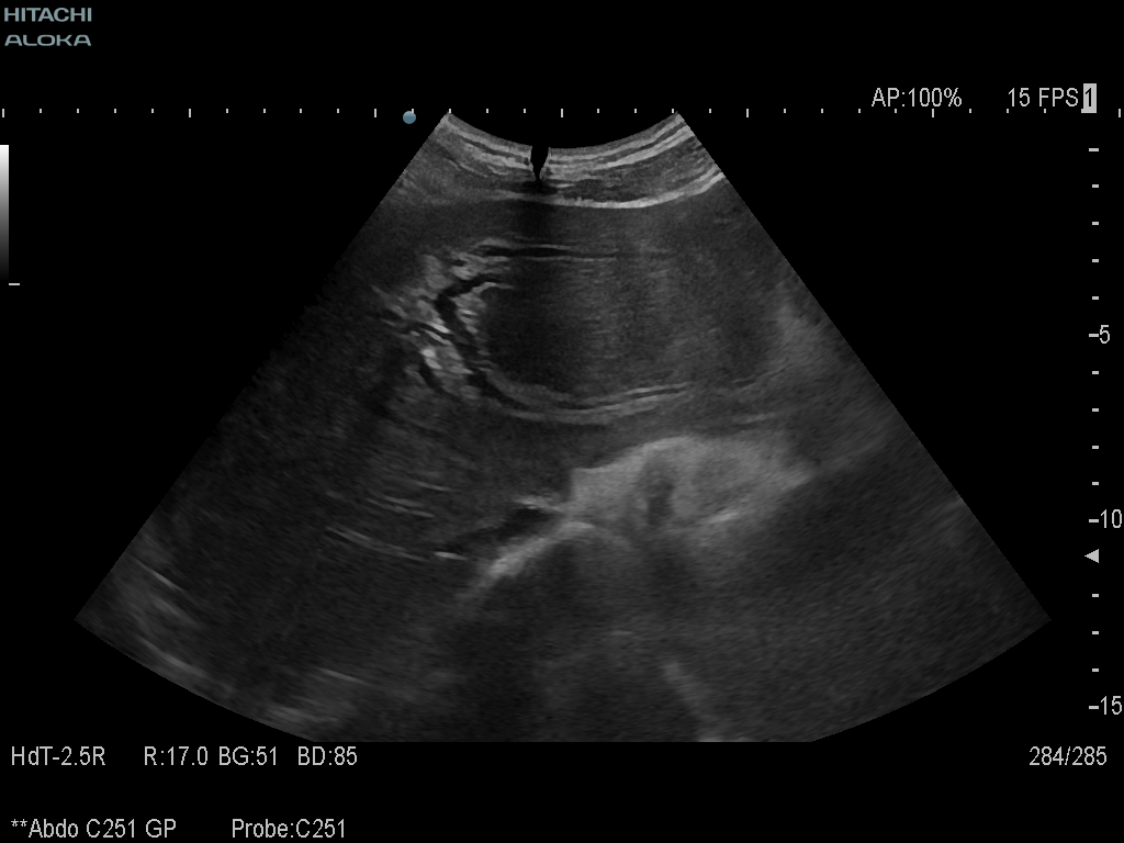
Student Image Challenge 69October 16, 2020ECMUS Bylaw (2)October 27, 2020 Student Image Challenge 70 Fig.01 Fig.01 Fig. 02 Student Image Challenge #70 1 / 1 Student Image Challenge #70 What can cause this ultrasound aspect ? Simple hepatic cyst Acute hepatitis Extrahepatic cholestasis Intrahepatic cholestasis It is a normal aspect of the liver Incorrect ....Please see the correct answer highlighted Correct: Extrahepatic cholestasis Your score isThe average score is 0% LinkedIn Facebook VKontakte 0% Restart quiz Case courtesy of Prof Adrian Saftoiu EFSUMBAdmin Related postsStudent Image Challenge 112Read more Comments are closed.