Incorrect ....Please see the correct answer highlighted
Standard ultrasound shows multiple echogenic rounded images, without shadowing (~20% of common bile duct stones will not shadow) and a dilated common bile duct.
CEUS confirmed the choledocholithiasis, showing a non-enhanced mass in the arterial phase, which remained non-enhanced in the late phase.”
Correct!
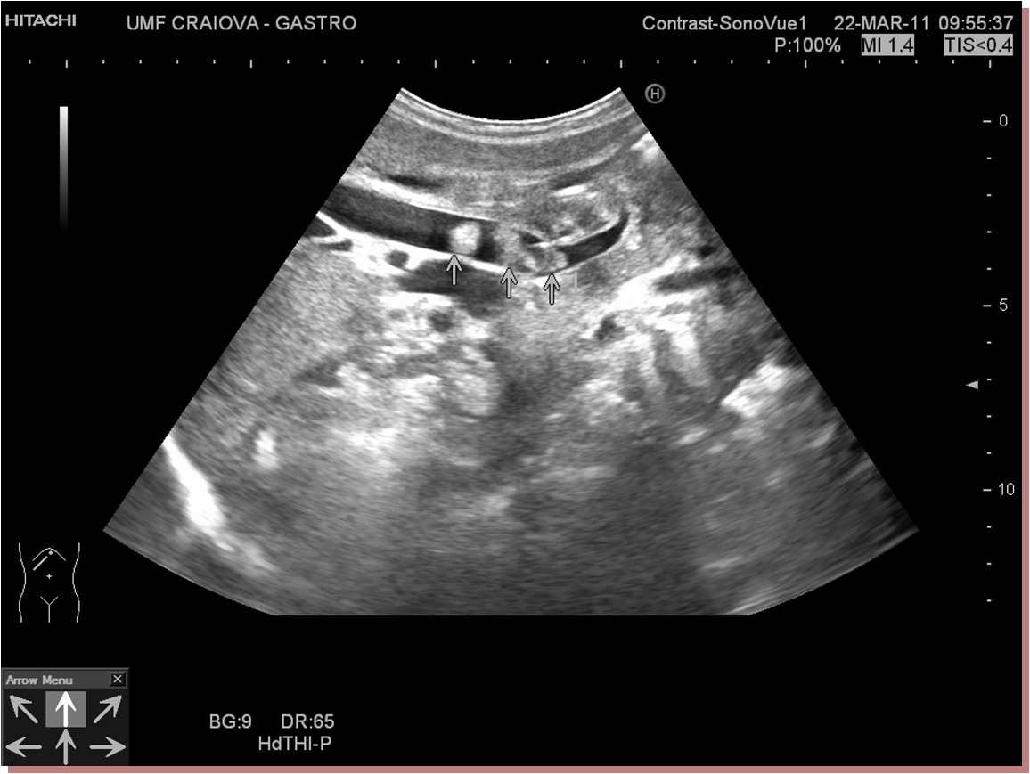
Standard ultrasound shows multiple echogenic rounded images, without shadowing (~20% of common bile duct stones will not shadow) and a dilated common bile duct.
CEUS confirmed the choledocholithiasis, showing a non-enhanced mass in the arterial phase, which remained non-enhanced in the late phase.”