Incorrect ....Please see the correct answer highlighted
The sonogram shows a fetal head and the cervical area of the fetus in a sagittal plane. One can see that the fetal neck has a huge area with teratoma which has a size about 8x10 cm. Furthermore, one can see the fetal profile with chin and fetal nose.
Teratomas are rare fetal tumors with a frequency of 1: 20,000 to 1: 40,000 live births. Histologically, these are benign tumors formed by the three germ layers (ectoderm, mesoderm and endoderm). While most of the fetal teratomas are manifested in the coccyx region, cervical teratomas account for only about 6% of congenital teratomas. The main problems in pregnancy and perinatal period are the increase in size, the resulting impairment of fetal swallowing with consecutive polyhydramnios and significantly increased risk of premature birth and birth the difficulty postnatally to secure the respiratory tract.
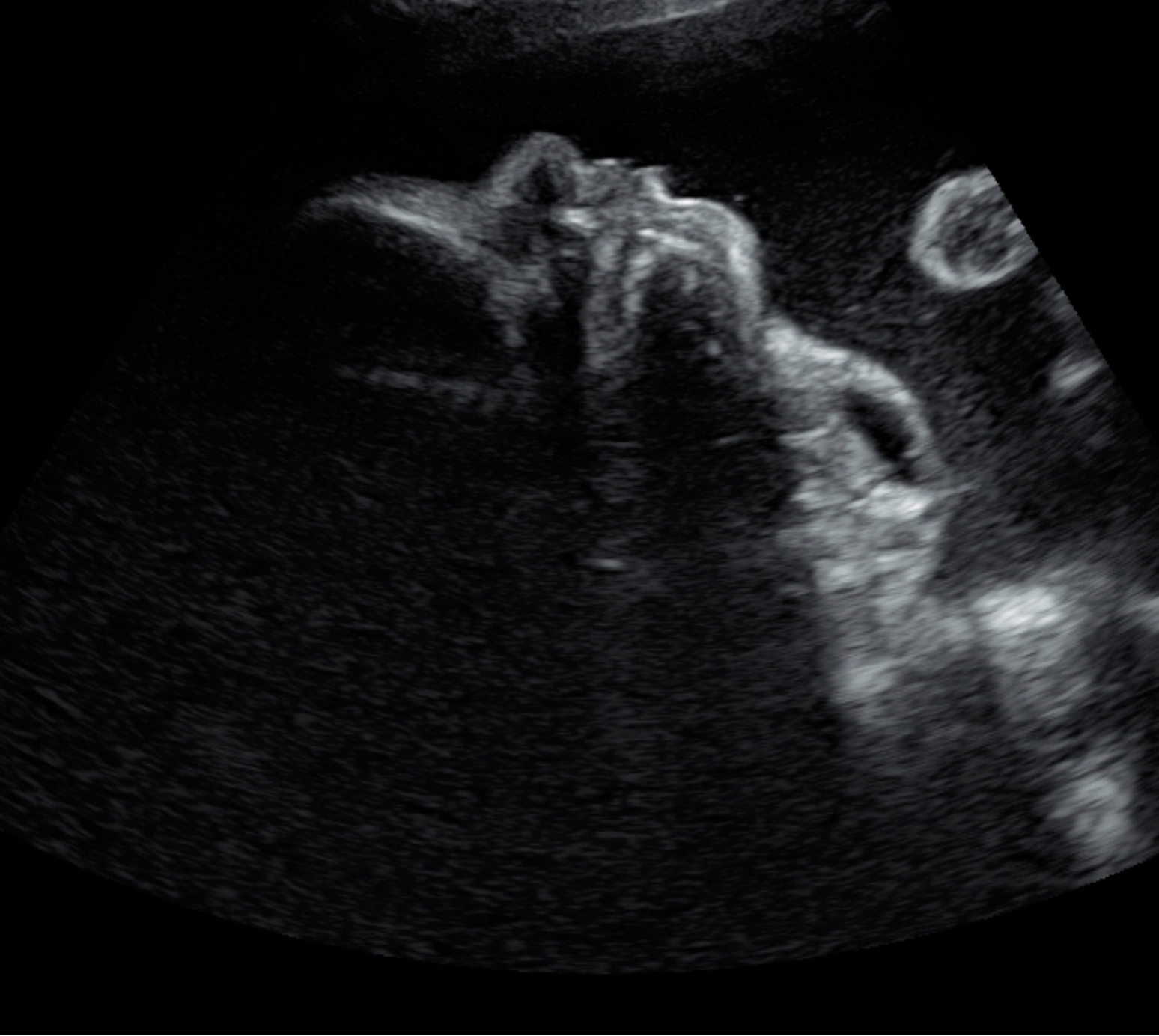
Correct! The sonogram shows a fetal head and the cervical area of the fetus in a sagittal plane. One can see that the fetal neck has a huge area with teratoma which has a size about 8x10 cm. Furthermore, one can see the fetal profile with chin and fetal nose.
Teratomas are rare fetal tumors with a frequency of 1: 20,000 to 1: 40,000 live births. Histologically, these are benign tumors formed by the three germ layers (ectoderm, mesoderm and endoderm). While most of the fetal teratomas are manifested in the coccyx region, cervical teratomas account for only about 6% of congenital teratomas. The main problems in pregnancy and perinatal period are the increase in size, the resulting impairment of fetal swallowing with consecutive polyhydramnios and significantly increased risk of premature birth and birth the difficulty postnatally to secure the respiratory tract.