Incorrect ....Please see the correct answer highlighted
The sonogram shows a foetus with an anhydramnion and a huge bladder which shows a lower urinary tract obstruction (LUTO). The aetiology of LUTO is heterogeneous. The most common entities are isolated posterior urethral valves or urethral atresia in male foetuses. In female foetuses, LUTO is frequently a part of complex malformations. The natural history of LUTO is characterised by high morbidity and mortality due to the development of severe pulmonary hypoplasia caused by oligo- or anhydramnios affecting the cannalicular phase (16–24 weeks of gestation) of pulmonary development.The degree of renal damage is variable and ranges from mild renal impairment in infancy to end-stage renal insufficiency, necessitating dialysis and transplantation.
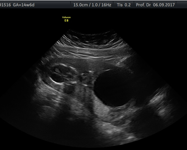
Correct! The sonogram shows a foetus with an anhydramnion and a huge bladder which shows a lower urinary tract obstruction (LUTO). The aetiology of LUTO is heterogeneous. The most common entities are isolated posterior urethral valves or urethral atresia in male foetuses. In female foetuses, LUTO is frequently a part of complex malformations. The natural history of LUTO is characterised by high morbidity and mortality due to the development of severe pulmonary hypoplasia caused by oligo- or anhydramnios affecting the cannalicular phase (16–24 weeks of gestation) of pulmonary development.The degree of renal damage is variable and ranges from mild renal impairment in infancy to end-stage renal insufficiency, necessitating dialysis and transplantation.