Incorrect ....Please see the correct answer highlighted
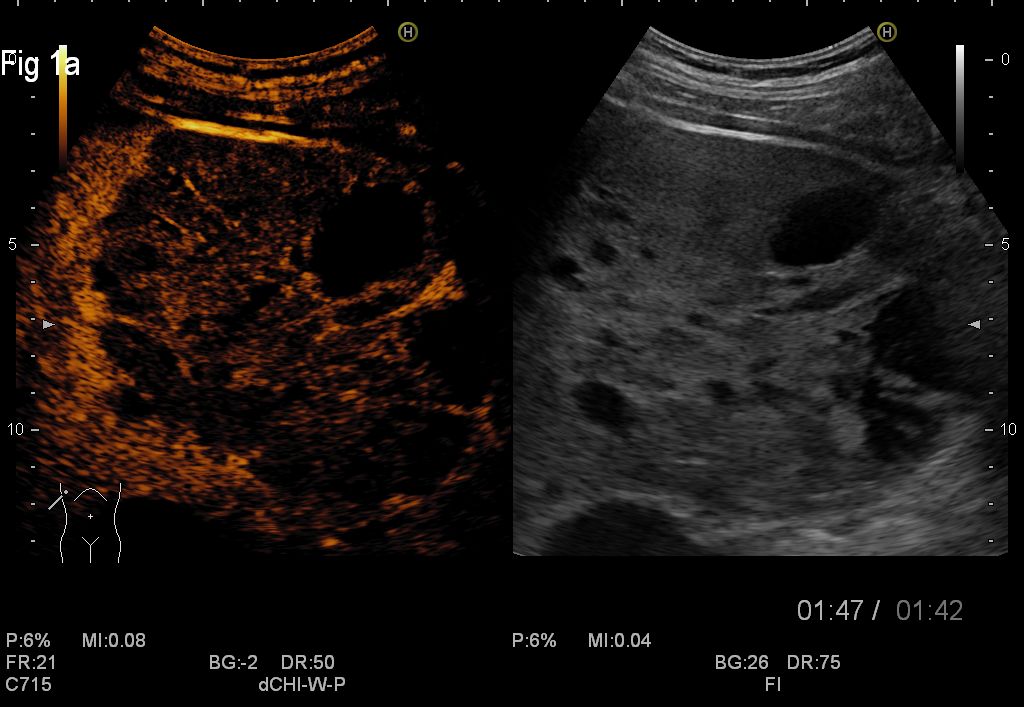
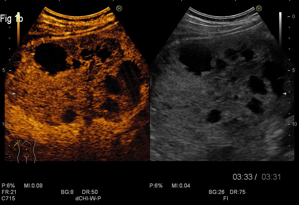
Conventional abdominal ultrasound revealed numerous well-demarcated masses in the right liver lobe, with internal septations and mixt content, transonic and hypoechogenic.
CEUS showed enhancement in the arterial phase and slow wash-out in the late venous phase at the periphery with central necrosis in some of the masses, which excluded the diagnosis of hydatid cyst and was suggestive for a malignant pattern.
The patient subsequently underwent an endoscopic ultrasound which revealed the primary tumour in the pancreas. EUS-guided fine needle aspiration biopsies were performed and the cytological exam of the pancreas EUS-FNA biopsy was suggestive for a neuroendocrine tumour.
Correct!
Conventional abdominal ultrasound revealed numerous well-demarcated masses in the right liver lobe, with internal septations and mixt content, transonic and hypoechogenic.
CEUS showed enhancement in the arterial phase and slow wash-out in the late venous phase at the periphery with central necrosis in some of the masses, which excluded the diagnosis of hydatid cyst and was suggestive for a malignant pattern.
The patient subsequently underwent an endoscopic ultrasound which revealed the primary tumour in the pancreas. EUS-guided fine needle aspiration biopsies were performed and the cytological exam of the pancreas EUS-FNA biopsy was suggestive for a neuroendocrine tumour.