Student Image Challenge 66

September 9, 2020

CEUS for the management of focal liver disease

September 17, 2020

Student Image Challenge 66

September 9, 2020

CEUS for the management of focal liver disease

September 17, 2020

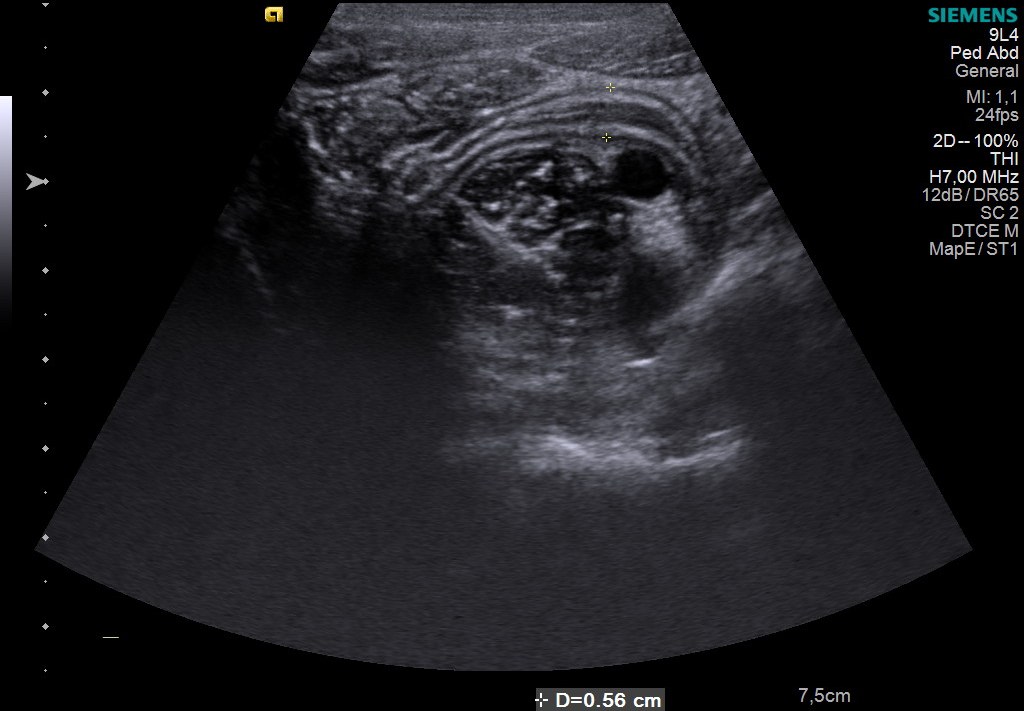
Student Image Challenge #67

1 / 1

Student Image Challenge #67

A young male patient presented to the ER with acute onset of pain in the right lower quadrant. Ultrasound examination has been performed and it suggested the following diagnosis of…?

 

 

 

Your score is

The average score is 100%

0%

Case courtesy of Dana Nedelcu MD

 

Comments are closed.