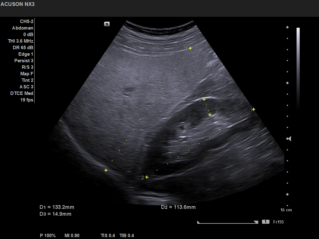
Ultrasound findings in Actinomyces infection of the neck [Aug/Sep 2020]September 25, 2020Student Image Challenge 69October 16, 2020 Student Image Challenge 68 Student Image Challenge #68 1 / 1 Student Image Challenge #68 This pathology is the most common liver disease in Western countries. What is this aspect suggestive of? Hepatic metastases Cholangiocarcinoma Diffuse hepatic steatosis Cirrhosis Focal nodular hyperplasia Incorrect ....Please see the correct answer highlighted Correct: Diffuse hepatic steatosis Hepatic steatosis is suggested by the increased echogenicity and beam attenuation, resulting in renal cortex appearing relatively hypoechoic compared to the liver parenchyma. Your score isThe average score is 100% LinkedIn Facebook VKontakte 0% Restart quiz Case courtesy of Prof Adrian Săftoiu EFSUMBAdmin Related postsStudent Image Challenge 112Read more Comments are closed.