Incorrect ....Please see the correct answer highlighted
Correct! transperineal + endorectal contrast-enhanced ultrasound
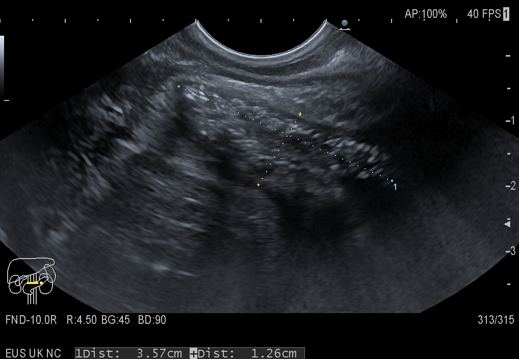
Endorectal ultrasound (ERUS) performed with a linear flexible EUS scope shows a well-defined, circumscribed, collection filled with mixed hypoechoic and hyperechoic content (Image 1 + 2). Intravenous CEUS (4.8 mL) depicted uptake of the ultrasound contrast agent inside various septations and granulation tissue in the collection (Video 1). Transrectal injection of diluted Sonovue (0.2 mL in 10 mL of saline) depicted the extent of the pararectal collection which communicated with a cranial and caudal fistula (Video 2). The EUS-guided aspirate yielded pus, with later growth of Enterobacter + anaerobe species. Last but not least, perineal CEUS examination with a convex probe showed the horseshoe abscess surrounding the rectum (Video 3).