
Student Image Challenge 01
May 13, 2019
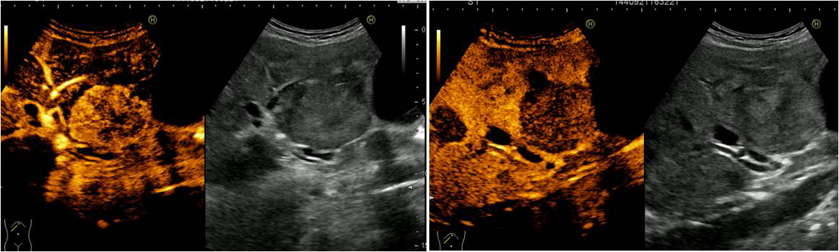
A novel use of Intracavity and intravenous CEUS: The delineation of hepatic abscess formation and conformation of catheter placement. [May 2019]
May 24, 2019

Student Image Challenge 01
May 13, 2019
A novel use of Intracavity and intravenous CEUS: The delineation of hepatic abscess formation and conformation of catheter placement. [May 2019]
May 24, 2019
Student Image Challenge 01
May 13, 2019
A novel use of Intracavity and intravenous CEUS: The delineation of hepatic abscess formation and conformation of catheter placement. [May 2019]
May 24, 2019Related posts