Incorrect ....Please see the correct answer highlighted
In B-mode, the hepatic lesion appears irregular shaped and hypoechoic. With contrast-enhanced ultrasound the lesion becomes hyperdense, with centrifugal filling during the hepatic arterial phase and sustained enhancement in the portal venous phase (as opposed to adenoma).
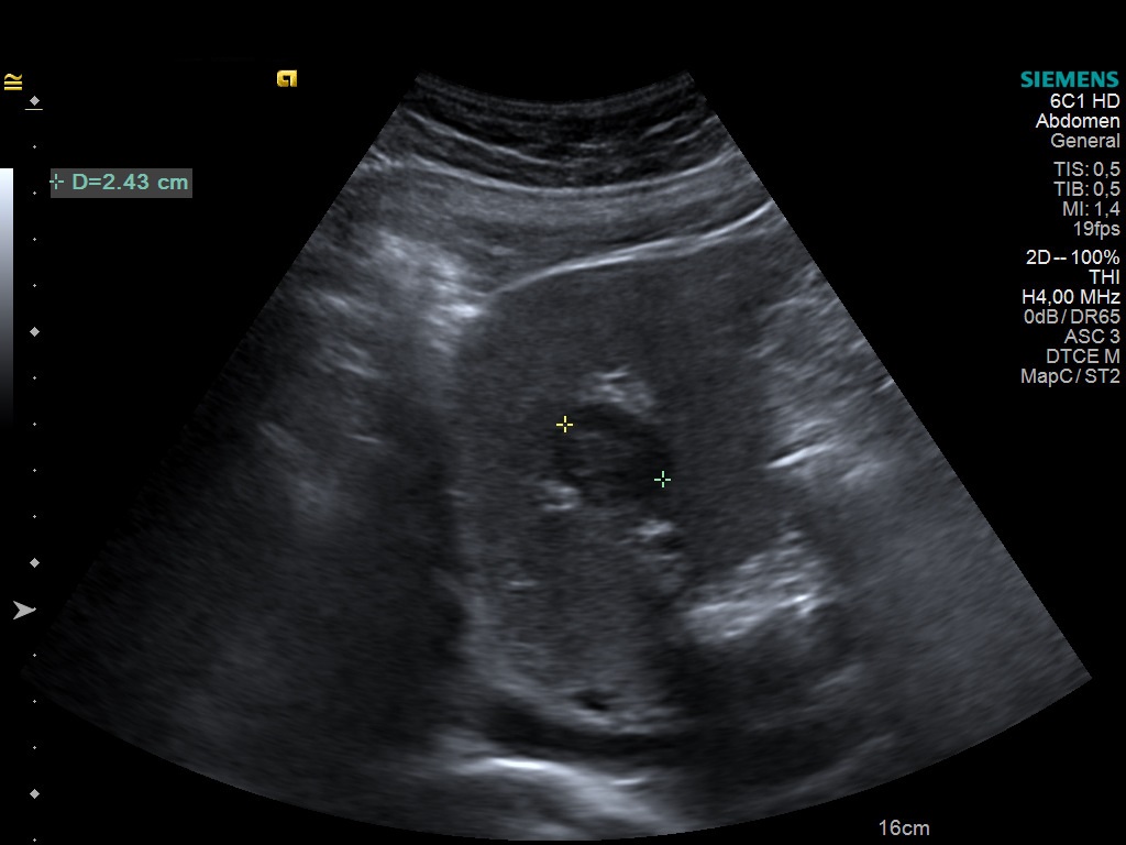
Correct! focal nodular hyperplasia
In B-mode, the hepatic lesion appears irregular shaped and hypoechoic. With contrast-enhanced ultrasound the lesion becomes hyperdense, with centrifugal filling during the hepatic arterial phase and sustained enhancement in the portal venous phase (as opposed to adenoma).