UNITED KINGDOM – BMUS

July 7, 2020

Student Image Challenge 59

July 15, 2020

UNITED KINGDOM – BMUS

July 7, 2020

Student Image Challenge 59

July 15, 2020

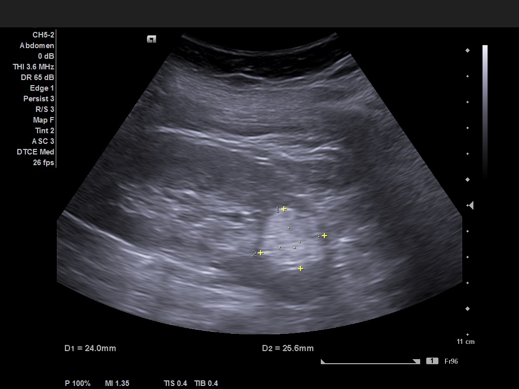
Student Image Challenge #58

1 / 1

Student Image Challenge #58

A 66 yo female with a history of painless, gross hematuria for several months has the following US image. She had no other lower urinary tract symptoms, no history of fever, weight loss, renal stones disease or trauma. What is your diagnosis?

Your score is

The average score is 50%

0%

Case courtesy of Prof Adrian Saftoiu

 

Comments are closed.