Student Image Challenge 58

July 10, 2020

Why Should We Implement CEUS in our Clinical Practice

July 15, 2020

Student Image Challenge 58

July 10, 2020

Why Should We Implement CEUS in our Clinical Practice

July 15, 2020

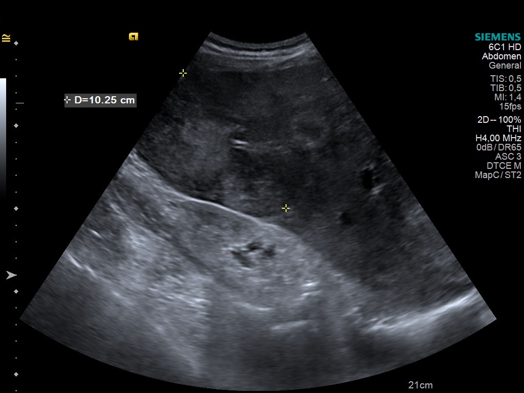
Student Image Challenge #59

1 / 1

Student Image Challenge #59

A 63 year old male with right upper quadrant pain and jaundice, with a history of chronic hepatitis B viral infection has the following US image. What is your diagnosis?

Your score is

The average score is 100%

0%

Case courtesy of Prof Adrian Saftoiu

 

Comments are closed.