
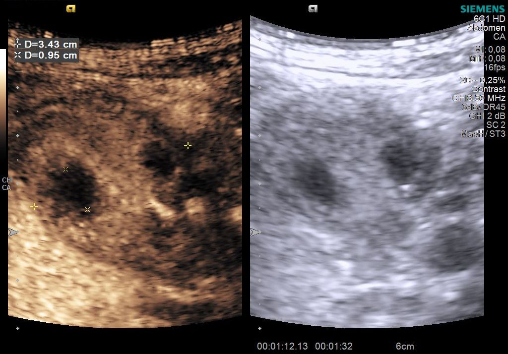
Bowel ultrasound findings in SARS-CoV-2 Pneumonia patients with gastrointestinal symptoms [Jan 2021]
December 30, 2020
Student Image Challenge 80
January 19, 2021
Case courtesy of Prof Adrian Saftoiu

Bowel ultrasound findings in SARS-CoV-2 Pneumonia patients with gastrointestinal symptoms [Jan 2021]
December 30, 2020
Student Image Challenge 80
January 19, 2021
Bowel ultrasound findings in SARS-CoV-2 Pneumonia patients with gastrointestinal symptoms [Jan 2021]
December 30, 2020
Student Image Challenge 80
January 19, 2021Related posts